Radiografías Extraorales


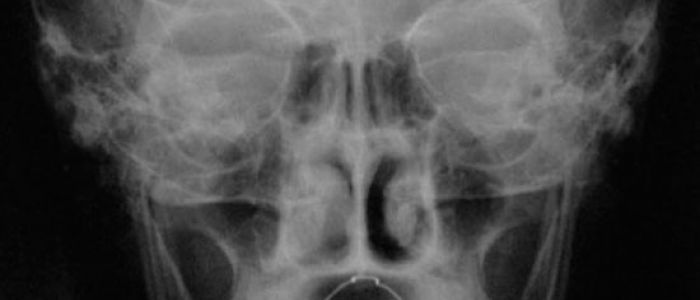
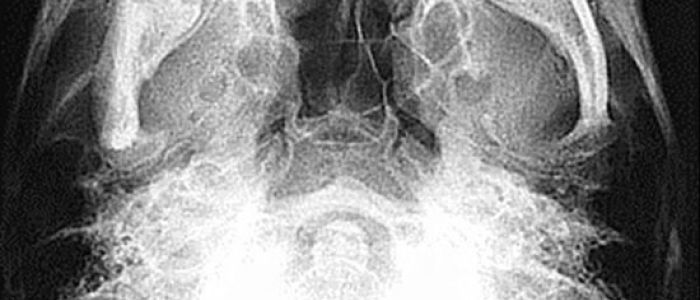
Las radiografías extraorales se emplean cuando no es factible obtener información diagnóstica adecuada en las series de radiografías intraorales, es así que son utilizadas para observar un área grande de los maxilares y del cráneo en una sola radiografía. Los exámenes radiográficos extrabucales tienen el propósito de evaluar áreas grandes del cráneo, dientes impactados y patrones de erupción, crecimiento y desarrollo; examinar la extensión de lesiones grandes, traumatismos, articulación temporomandibular. Son de mucha utilidad principalmente en Ortodoncia y Cirugía Bucal.

Existen varias radiografías extraorales entre las cuales se tiene:

Desarrollado por

INFORMACIÓN IMPORTANTE SOBRE TU PEDIDO ONLINE

Debido a la alta demanda actual , las entregas de listas se pueden extender hasta un plazo máximo de 72 horas, sin considerar el día Domingo.

Agradecemos su comprensión y el esfuerzo que hacen por mantenerse en casa , esas acciones reflejan nuestra responsabilidad y solidaridad con todo el Perú. Aquí estaremos para cualquier consulta que tengas !

Escríbenos para más Información